TWOJE PRZED I PO

Wiemy, że uśmiech jest dla ciebie ważny. W Studiu Stomatologicznym Powiśle dbamy o to, żeby był zainspirowany tobą – aby współgrał z twoimi rysami i osobowością, był naturalny, promienny, szczery. Twój.

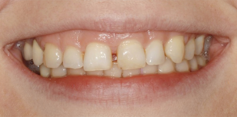
LICÓWKI PEŁNOCERAMICZNE

To historia o odbudowaniu czegoś więcej niż estetyki. To historia o odzyskanej pewności siebie. Pacjentka przez lata ukrywała swój uśmiech. Porażenie dolnej wargi, będące następstwem boreliozy, sprawiło, że przestała czuć się swobodnie w uśmiechu.
Po dokładnej analizie zdecydowaliśmy się na pełną odbudowę estetyczną w łuku górnym i dolnym. Wykonaliśmy licówki pełnoceramiczne, które pozwoliły przywrócić proporcje, symetrię i harmonię uśmiechu — z uwzględnieniem indywidualnej mimiki oraz specyfiki pracy warg.
Efekt? Uśmiech, który nie dominuje — ale wspiera. Naturalny, spójny i dopasowany do twarzy. Bo czasem metamorfoza nie polega na zmianie. Polega na przywróceniu odwagi, by znów się uśmiechać.

Przed

Po leczeniu

BONDING EXTRA WHITE

Pacjentka zgłosiła się do nas z jednym celem — chciała naprawdę jasnego uśmiechu. Dotychczasowe wybielanie nie dawało efektu, który byłby dla niej satysfakcjonujący. Po analizie zdecydowaliśmy się na rozwiązanie dające pełną kontrolę nad kolorem i estetyką: bonding w odcieniu XBW – extra white.
Dzięki temu mogliśmy uzyskać efekt, który jest:
👉🏻 wyraźnie jaśniejszy,
👉🏻 spójny kolorystycznie,
👉🏻 a jednocześnie naturalny w odbiorze.
Efekt? Uśmiech dokładnie taki, jaki sobie wyobrażała. Świeży. Jasny. Harmonijny. Bez kompromisów! Bo czasem wybielanie to za mało. A estetyka zaczyna się tam, gdzie kończą się ograniczenia.
Za metamorfozę jest odpowiedzialna lek. dent. Magdalena Drozdowicz.

Przed

Po leczeniu

KOMPLEKSOWA REKONSTRUKCJA

Pacjentka zgłosiła się do nas w celu kompleksowego leczenia. Zależało jej nie tylko na poprawie estetyki uśmiechu, ale również na uzupełnieniu braków zębowych oraz odbudowie startych zębów. Po dokładnej diagnostyce zaplanowaliśmy leczenie etapowe, które pozwoliło przywrócić prawidłowe proporcje, funkcję i estetykę.
Pierwszy krok: chirurgiczne wydłużenie koron zębów siecznych przyśrodkowych, które umożliwiło poprawę ich proporcji i harmonii uśmiechu.
Drugi krok: podniesienie wysokości zwarcia za pomocą odbudów kompozytowych, co pozwoliło odtworzyć prawidłową funkcję i zabezpieczyć zęby przed dalszym starciem.
Trzeci krok: uzupełnienie braków zębowych implantami, zapewniając stabilność, komfort i trwałość efektu.
Kompleksowe podejście do leczenia w stomatologii pozwala nam osiągać stabilne, przewidywalne i długotrwałe rezultaty — zarówno pod względem estetyki, jak i funkcji.

Przed

Po leczeniu

ODBUDOWA BRZEGÓW SIECZNYCH

Pacjentka zgłosiła się do nas z chęcią subtelnej poprawy estetyki swojego uśmiechu. Po analizie okazało się, że delikatne starcie brzegów siecznych wpływało na proporcje i optykę zębów.
Wykonaliśmy minimalnie inwazyjną odbudowę brzegów siecznych z użyciem nowoczesnego kompozytu, precyzyjnie odtwarzając naturalny kształt i przejrzystość szkliwa. Zabieg pozwolił nie tylko przywrócić harmonię i estetykę, ale też zabezpieczyć tkanki przed dalszym ścieraniem.
Efekt? Naturalny, świeży uśmiech — pełen lekkości i równowagi.

Przed

Po leczeniu

KOREKTA UŚMIECHU DZIĄSŁOWEGO

Nasza Pacjentka zgłosiła się do nas, ponieważ nie czuła się komfortowo ze swoim uśmiechem. Zmagała się z tzw. uśmiechem dziąsłowym, a jej zęby były ciemne i zniszczone, co wpływało na jej pewność siebie.
Pierwszy krok: chirurgiczne wydłużenie koron zębów, aby poprawić ich proporcje – wykonane przez @kaczynski_tomasz_
Drugi krok: pełna rekonstrukcja zwarcia i estetyki uśmiechu – 28 koron pełnoceramicznych od @df_lab, zaplanowana i przeprowadzona przez @katarzyna_jekot
Finał: subtelne uniesienie górnej wargi przy użyciu toksyny botulinowej, by uzyskać pełniejsze i bardziej wyraziste usta bez wypełniaczy – zabieg wykonany przez @bigosinska_joanna
Efekt? Naturalny, harmonijny uśmiech i pewność siebie!

Przed

Po leczeniu

INVISALIGN I WYBIELANIE

Estetyka uśmiechu to suma małych detali. Metamorfoza dr Katarzyny Jękot to historia o tym, że nie każda zmiana musi być spektakularna – czasem wystarczy subtelny akcent, by poczuć się sobą na nowo.
Krok pierwszy: leczenie ortodontyczne nakładkami Invisalign pod opieką @olena_aleksiychuk, które przez rok pozwoliło uzyskać pełniejszy, bardziej harmonijny uśmiech.
Krok drugi: wybielanie zębów, które nadało świeżości i podkreśliło kształt, domykając efekt w postaci subtelnego, ale olśniewającego Hollywood Smile.
Efekt? Uśmiech w pełnej harmonii z rysami twarzy – naturalny, świeży i pełen blasku.

Przed

Po leczeniu

ORTODONCJA I BONDING

Pacjentka zgłosiła się do nas z pragnieniem subtelnej, ale wyraźnej poprawy estetyki swojego uśmiechu. Podczas szczegółowego badania zdiagnozowaliśmy starcie oraz stłoczenie zębów, które zaburzały harmonię łuku zębowego.
Etap pierwszy: leczenie ortodontyczne przy użyciu nakładek. Dzięki ich precyzyjnemu działaniu uzyskaliśmy prawidłowe ustawienie zębów, a lekkie ich wychylenie nadało uśmiechowi pełniejszy i bardziej proporcjonalny kształt.
Etap finalny: delikatna odbudowa kompozytowa, czyli bonding, która podkreśliła kształt zębów i stała się eleganckim dopełnieniem całej metamorfozy.
Efekt? Naturalny, harmonijny uśmiech, który zachwyca i dodaje pewności siebie.

Przed

Po leczeniu

WYDŁUŻENIE KORON I BONDING

Pacjentka zgłosiła się do nas z chęcią poprawy estetyki swojego uśmiechu. Głównym problemem był tzw. gummy smile oraz nieodpowiednie proporcje i długość zębów, które zaburzały harmonię uśmiechu.
Pierwszy krok: chirurgiczne wydłużenie koron klinicznych zębów, przeprowadzone przez dr. Daniela Poszytka, pozwoliło na odsłonięcie większej powierzchni zębów i ograniczenie widoczności dziąseł podczas uśmiechu.
Drugi krok: precyzyjny bonding kompozytowy wykonany na łuku górnym i dolnym przez dr. Katarzynę Jękot nadał zębom odpowiedni kształt i proporcje, harmonizując cały uśmiech z rysami twarzy.
Efekt? Naturalny, symetryczny uśmiech, który nie tylko poprawił proporcje między dziąsłami a zębami, ale przede wszystkim zwiększył pewność siebie pacjentki.

Przed

Po leczeniu

INVISALIGN, GINGIWOPLASTYKA I BONDING

25-letnia pacjentka zgłosiła się do nas z potrzebą delikatnej korekty estetycznej. Największym kompleksem była dla niej lewa „dwójka” – krótsza, o nieregularnym, sopelkowym kształcie, zaburzająca symetrię uśmiechu. Zależało jej na efekcie bardziej wyrazistym, przyciągającym spojrzenia – adekwatnym do jej energii, stylu życia i wieku. Postawiliśmy na całkowicie nieinwazyjne, nowoczesne rozwiązania estetyczne:
Pierwszy krok: ortodoncja nakładkowa Invisalign — pod okiem dr Oleny Aleksiychuk, aby subtelnie wyrównać ustawienie zębów i przygotować uśmiech do dalszych etapów.
Drugi krok: precyzyjna korekta wysokości girlandy dziąsłowej w zębie 22 wykonana przez dr Daniela Poszytka, która pozwoliła uzyskać idealną harmonię linii uśmiechu.
Trzeci krok: wybielanie systemem Philips Zoom — delikatne rozjaśnienie zębów z zachowaniem ich naturalnego charakteru.
Finał: bonding od kła do kła — finalny etap przeprowadzony przez dr Katarzynę Jękot, który nadał zębom wymarzone proporcje i kształt.
Efekt? Uśmiech, który w pełni oddaje osobowość pacjentki — promienny, harmonijny i w 100% naturalny. Bez bólu, bez ingerencji w strukturę zębów.

Przed

Po leczeniu

LICÓWKI I MEDYCYNA ESTETYCZNA

Pacjentka zgłosiła się do nas z chęcią poprawy estetyki swojego uśmiechu. Po dokładnym badaniu zauważyliśmy kilka elementów zaburzających jego harmonię: niejednolity kolor zębów, diastemę między jedynkami, uśmiech dziąsłowy oraz bardzo cienką wargę górną.
Pierwszy krok: 10 licówek pełnoceramicznych w odcieniu BL4, które rozjaśniły zęby i zamknęły diastemę, nadając łukowi zębowemu symetrię.
Drugi krok: relaksacja mięśnia okrężnego ust toksyną botulinową – subtelne „opuszczenie” linii wargi ograniczyło ekspozycję dziąseł.
Trzeci krok: modelowanie ust kwasem hialuronowym, które dodało wargom objętościi przywróciło proporcje uśmiechu.
Efekt? Naturalny, równomiernie rozjaśniony uśmiech, idealnie współgrający z rysami twarzy. Harmonijne proporcje i subtelne podkreślenie ust podniosły pewność siebie pacjentki!

Przed

Po leczeniu

METAMORFOZA NAKŁADKOWA

Pacjentka zgłosiła się do nas z chęcią poprawy estetyki swojego uśmiechu. Po dokładnym badaniu stwierdziliśmy starcie oraz stłoczenie zębów, które zaburzały harmonię łuku zębowego.
Pierwszy krok: leczenie ortodontyczne za pomocą nakładek, które pozwoliło na prawidłowe ustawienie zębów. Ich wychylenie sprawiło, że uśmiech stał się pełniejszy i bardziej proporcjonalny.
Finalne wykończenie: delikatna odbudowa kompozytowa, czyli bonding, która nadała zębom idealny kształt i była wisienką na torcie tej metamorfozy.
Efekt? Naturalny, harmonijny uśmiech, który dodaje pewności siebie!

Przed

Po leczeniu

PEŁNA REKONSTRUKCJA CERAMICZNA

Nasza Pacjentka zgłosiła się do nas, ponieważ nie czuła się komfortowo ze swoim uśmiechem. Zmagała się z tzw. uśmiechem dziąsłowym, a jej zęby były ciemne i zniszczone, co wpływało na jej pewność siebie.
Pierwszy krok: chirurgiczne wydłużenie koron zębów, aby poprawić ich proporcje – wykonane przez @kaczynski_tomasz_
Drugi krok: pełna rekonstrukcja zwarcia i estetyki uśmiechu – 28 koron pełnoceramicznych od @df_lab, zaplanowana i przeprowadzona przez @katarzynajekot
Finał: subtelne uniesienie górnej wargi przy użyciu toksyny botulinowej, by uzyskać pełniejsze i bardziej wyraziste usta bez wypełniaczy – zabieg wykonany przez @bigosinska_joanna
Efekt? Naturalny, harmonijny uśmiech i pewność siebie!

Przed

Po leczeniu

ORTODONCJA I WYBIELANIE WEWNĘTRZNE

Pacjentka zgłosiła się do nas, ponieważ nieprawidłowo ustawione zęby powodowały ich nadmierne starcie i zaburzały estetykę uśmiechu. Dodatkowo martwy, mocno przebarwiony kieł negatywnie wpływał na jej pewność siebie.
Pierwszy krok: ortodontyczne leczenie aparatem nakładkowym – przeprowadzone przez @olena_aleksiychuk. Dzięki nowoczesnym, dyskretnym nakładkom udało się przywrócić prawidłowy układ zębów w komfortowy dla Pacjentki sposób.
Drugi krok: wybielenie kła oraz bonding zębów przednich – wykonane przez @katarzyna_jekot. Dzięki temu zabiegowi uzyskaliśmy jednolity kolor i kształt zębów, co od razu przełożyło się na poprawę estetyki uśmiechu.
Efekt? Nowy, harmonijny układ zębów oraz odzyskana pewność siebie, która towarzyszy Pacjentce na co dzień!

Przed

Po leczeniu

INVISALIGN I BONDING

To nie był tylko bonding. Pacjent chciał poprawić estetykę uśmiechu – kilka detali, które od jakiegoś czasu mu nie odpowiadały. Ale zanim zaczęliśmy jakąkolwiek pracę estetyczną, najpierw zadaliśmy sobie pytanie: dlaczego ten uśmiech wygląda tak, a nie inaczej?
Odpowiedź: zbyt ciasne przestrzenie między zębami. Bonding w takich warunkach nie dałby naturalnego efektu – tylko więcej. Dlatego zaczęliśmy od ortodoncji. Aparat nakładkowy Invisalign pod opieką @dr_olena_aleksiychuk stworzył przestrzeń, której brakowało. Dopiero wtedy przyszedł czas na kompozyt.
Bonding wykonała @magda_drozdowicz – precyzyjnie, z dbałością o każdy detal i harmonię całości.
Efekt? Uśmiech lekki, naturalny, dopasowany do twarzy. Taki, który po prostu pasuje. Bo estetyka zaczyna się od planu, nie od materiału.

Przed

Po leczeniu

LICÓWKI

Problem
Pacjentka marzyła o przywróceniu jej uśmiechowi blasku. Chciała, aby jej zęby miały jaśniejszy kolor i pełniejszy kształt.
Rozwiązanie
Wykonaliśmy dziesięć ultracienkich licówek porcelanowych, jedynie minimalnie ingerując w zęby pacjentki. Zdecydowaliśmy się na naturalny odcień bieli, pasujący do jej karnacji. Po leczeniu pacjentka podzieliła się z nami swoimi wrażeniami – czuje się teraz wyjątkowo i kocha się uśmiechać.

Przed

Po leczeniu

PEŁNA ODBUDOWA KORONY PEŁNOCERAMICZNE A1

Problem
Pacjentka chciała poprawić wygląd swoich zębów. Zależało jej na młodym, świeżym i promiennym uśmiechu, który jednocześnie będzie bardzo naturalny.
Rozwiązanie
Przez wyraźne uszkodzenia zębów podjęliśmy decyzję o odbudowie całej ich powierzchni i utraconej wysokości, dzięki czemu możliwe było uzyskanie maksymalnie naturalnego efektu. W sumie założyliśmy dwadzieścia cztery korony pełnoceramiczne w kolorze pasującym do skóry pacjentki. Efektem były idealnie zdrowe dziąsła i piękny, naturalny uśmiech. Pacjentka podsumowała, że jej zęby wyglądają tak, jakby znów miała dwadzieścia lat.

Przed

Po leczeniu

KORONY

Problem
Pacjentka zgłosiła się z potrzebą poprawy estetyki zębów. Chciała, aby jej uśmiech znów był świeży i promienny. W badaniu widoczne były liczne ubytki erozyjne, które mogą powstawać na skutek jedzenia dużej ilości cytrusów czy picia słodzonych napojów, ale również przez choroby, takie jak refluks, bulimia czy anoreksja.
Rozwiązanie
Nie tylko odbudowaliśmy wszystkie powierzchnie zębów, ale również podnieśliśmy wysokość zwarcia i zdecydowaliśmy się na pełną rehabilitację zgryzu. Wykonaliśmy 24 korony pełnoceramiczne. Teraz pacjentka cieszy się idealnym stanem dziąseł i pięknym uśmiechem.

Przed

Po leczeniu

IMPLANTY

Problem
Pacjentka zgłosiła się z powodu złamanego kła.
Rozwiązanie
Podczas tej samej wizyty usunęliśmy ząb, a na jego miejsce wszczepiliśmy implant. Brak zęba odbudowaliśmy koroną tymczasową. Po około sześciu miesiącach wymieniliśmy ją na ostateczną pełnoceramiczną przykręcaną do implantu koronę. Najważniejsze były dla nas stabilność konturów dziąsła, kolor zęba i struktura otaczających go tkanek.

Przed

Po leczeniu

LICÓWKI I KORONY

Pacjentka zgłosiła się z potrzebą poprawy estetyki zębów. Chciała aby jej uśmiech znów był świeży i promienny jak kiedyś. W badaniu widoczne były liczne ubytki erozyjne. Erozja to proces chemiczny, może powstawać na skutek jedzenia dużej ilości cytrusów, słodzonych napojów ale również przez choroby takie jak refluks, bulimia czy anoreksja. Chciałam nie tylko odbudować wszystkie powierzchnie zębów ale również podnieść wysokość zwarcia. Dlatego też zdecydowałam się na pełną rehabilitację. Wykonaliśmy 24 korony pełnoceramiczne. To co dla mnie ważne, to idealny stan dziąseł i piękny uśmiech pacjentki. Zdecydowałyśmy się na kolor A1, dla pacjentki ważny był naturalny wygląd. Wyjeżdżając powiedziała, że jej zęby wyglądają tak jak wtedy gdy miała 20 lat.

Przed

Po leczeniu

LICÓWKI

Pacjent przyszedł do mnie, z potrzebą poprawy estetyki swojego uśmiechu. Zęby miały wyglądać pięknie i naturalnie. Współpracując z jedną z najlepszych pracowni w Polsce, wykonaliśmy 24 licówki porcelanowe. Napalane indywidualnie licówki pozwalają maksymalnie zbliżyć się do naturalnej struktury, przezierności i koloru zębów.

Przed

Po leczeniu

ZABIEG ORTODONTYCZNY I LICÓWKI

Problem
Pacjentka zgłosiła się z problemem starcia przednich zębów, była też niezadowolona z ich wyglądu, który był wynikiem niewielkiej wady zgryzu.
Rozwiązanie
Wdrożyliśmy leczenie ortodontyczne, które dało nam miejsce na odtworzenie brakujących tkanek zębów. Następnie wykonaliśmy cztery ultracienkie licówki porcelanowe w odcieniu pasującym do pozostałych zębów. Cementowanie licówek odbyło się dwa dni przed ślubem pacjentki, która była zachwycona efektem.

Przed

Po leczeniu

LICÓWKI

Pacjentka przyszła do mnie, ponieważ nie była zadowolona z długości swoich siekaczy. Uległy one starciu przez lata. Wykonaliśmy 10 licówek porcelanowych. Wybraliśmy kolor delikatnie jaśniejszy niż miała do tej pory. Dolne zęby wybieliliśmy metodą nakładkową. Licówki nie tylko poprawiły estetykę jej uśmiechu ale również poprawiły jej proporcje oraz odbudowały brakujące tkanki zęba. Teraz będą zapobiegać dalszemu starciu.

Przed

Po leczeniu

DIASTEMA

Pacjent przyszedł do mnie, ponieważ nie chciał mieć diastemy ( szpary ) między siekaczami oraz nie podobały mu się starte dolne siekacze. Zarówno zęby górne jak i dolne były mocno starte. Pacjent miał problem z zaciskaniem zębów w nocą. Zdecydowaliśmy się na podniesienie zgryzu kompozytem, oraz estetyczny bonding. Nie preparowaliśmy własnych zębów, cała praca to dodatek do własnych tkanek zębów. Minimalnie inwazyjnie stomatologia.

Przed

Po leczeniu

PRACA PROTETYCZNA

Pacjent zgłosił się do mnie z potrzebą poprawy wyglądu siekaczy oraz doskwierającym brakiem dolnych trzonowców. W dolnym łuku widać było rozległe braki zębowe, które spowodowały przemieszczenie się zębów górnych (efekt Godona). Widoczna była również nieszczelna praca protetyczna w odcinku przednim. W pierwszym etapie wykonaliśmy intruzie górnych trzonowców i przedtrzonowców aby odzyskać utracone miejsce na dolne zęby. Następnie wykonaliśmy implantację zębów dolnych oraz odbudowę estetyczną górnego łuku. Całość to 4 korony na implantach oraz 10 koron pełnoceramicznych. Pacjent odzyskał pewność siebie i znów zaczął się uśmiechać.

Przed

Po leczeniu

SMILE ANTIAGING

Tę metamorfozę nazwałabym #smileantiaging???? Z czasem nasze zęby tracą blask, szkliwo robi się matowe a brzegi sieczne ścierają się. Pojawiają się przebarwienia a zgryz ulega obniżeniu. Praca obejmowała wykonanie sześciu #licówek i sześciu #koron pełnoceramicznych oraz podniesienie zgryzu za pomocą kompozytu. Uśmiech pacjentki odmłodził się o co najmniej 10 lat!!

Przed

Po leczeniu

GUMMY SMILE

Pacjentka zgłosiła się z problemem uśmiechu dziąsłowego. Gummy smile to widoczna duża część dziąsła podczas uśmiechu. Najpierw zaplanowałam u niej chirurgiczne wydłużenie koron zęba a następnie wykonaliśmy bonding. Pacjentka planuje również pogrubić górną wargę przy użyciu wypełniaczy oraz wykonać licówki porcelanowe.

Przed

Po leczeniu

ODBUDOWA NA IMPLANTACH

Pacjentka zgłosiła się do mnie załamana faktem, że ma do usunięcia prawą dwójkę oraz czwórkę. Przeszkadzała jej również lewa dwójka, ponieważ była mocno przebarwiona. Wykonaliśmy odbudowę na implantach oraz estetyczną odbudowę górnego łuku. W swoich pracach, zwracam dużą uwagę na zachowanie tkanek miękkich, to one oddają pełnie uśmiechu. Dlatego też zdecydowaliśmy się na przeszczep dziąsła. Zgodnie z wolą pacjentki, która chciała mieć uśmiech zdecydowanie jaśniejszy od obecnego, wybrałyśmy lekko wybielone korony pełnoceramiczne. Pacjentka wygląda obłędnie.

Przed

Po leczeniu

PEŁNA REHABILITACJA ZGRYZU

Pacjentka zgłosiła się do mnie ponieważ chciała pozbyć się protezy górnej i dolnej, w których chodziła od lat. Zaplanowałam wszczepienie 12 implantów oraz odbudowę zębów koronami. Była to pełna rehabilitacja zwarcia. To moja najdzielniejsza pacjentka.

Przed

Po leczeniu

MINIMALNIE INWAZYJNA STOMATOLOGIA

Pacjent zgłosił się do mnie z problemem ścierania się oraz kruszenia zębów. Chciał odbudować pokruszone siekacze. Najpierw zaplanowałam u niego skorygowanie zgryzu aparatem invisaligne, tak aby ustawić zęby w prawidłowym zgryzie a następnie odbudowałam zęby kompozytem. Efekt: piękny Uśmiech bez szlifowania. Minimalnie inwazyjna stomatologia.

Przed

Po leczeniu